Nos aseguramos que siempre obtenga el mejor resultado
Nuestros servicios
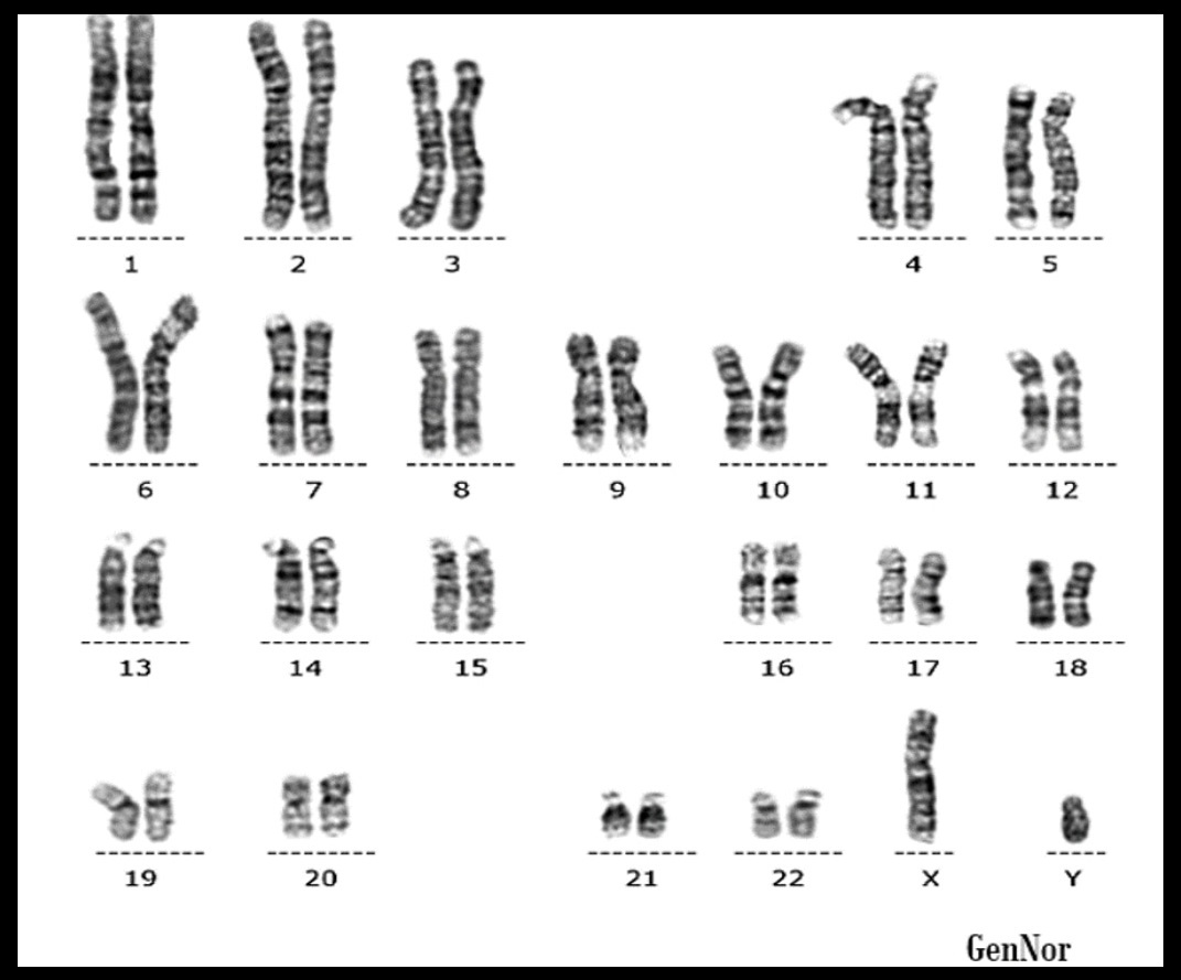
Laboratorio de Citogenética Humana
Es el campo de la genética que comprende el estudio de los cromosomas y sus anomalías en seres humanos.
- Las anomalías cromosómicas son responsables de un porcentaje significativo de enfermedades genéticas.
- Constituyen la causa principal conocida de discapacidad intelectual y perdida fetal.
Laboratorio de Andrología
- Evaluación de semen humano, siguiendo los criterios del 6to Manual de la Organización Mundial de la Salud (OMS) 2021.
- Análisis de pruebas complementarias como el Test de Fragmentación de ADN y Oxidación Espermática.
Por que la gente confía en nosotros
Laboratorio de alta calidad
Experiencia inigualable
Resultado preciso
Personal calificado
Trayectoria de nuestro
Fundador y Director
MSc. Layonal German Acosta Campo
Biólogo Genetista Biotecnólogo
- Maestría Biología Molecular y Bioquímica Clínica – UPRG
- Master en Técnicas de Reproducción Asistida –Fundación Universidad ADEIT – Empresa de Valencia, España
- Biólogo Genetista Biotecnólogo – UNMSM, Perú
- Director de Laboratorio de Embriología – Certificado por la Red Latinoamericana de Reproducción Asistida (REDLARA)
- Embriólogo Clínico – Certificado por la REDLARA
- Andrólogo Clínico – Certificado por la REDLARA
- Director de Laboratorio de GENNOR
- Directo de Laboratorio de GENÉTICA LAB
- Director de Laboratorio GESTAR SALUD
- Director de Embriología de GESTAR INVITRO
- Director Científico de BIOGENETIC LAB
- Miembro de la Sociedad Peruana de Fertilidad (SFP)
- Miembro de la Asociación Mexicana de Medicina Reproductiva (AMMR)
- Capacitaciones en Centros de Fertilidad: PREGNA (Argentina), CECOLFES (Colombia), FECUNDITAS (Argentina), NIUVIDA (Perú)
- Ponente Nacional e Internacional
- AUTOR DEL LIBRO: De Células Madre Embrionarias a Célula Madre Germinales – EAE Editorial Academia Española (2012)
- Profesor principal de GenNor y Centro de Fertilidad Gestar
- AUTOR DE DIVERSAS PUBLICACIONES EN REVISTAS CIENTIFICAS:
- Revista JBRA Assisted Reproduction (Brazil): «Correlation between sperm DNA fragmentation index and semen parameters in 418 men seen at a fertility center»
- Revista Iberoamericana de Fertilidad y Reproducción Humana (España): «Correlación entre los parámetros seminales y fragmentación del ADN espermático en varones atendidos en un centro de fertilidad»
- Revista Iberoamericana de Fertilidad y Reproducción Humana (España): «Correlación entre la edad y la calidad espermática en 419 varones atendidos en un centro de fertilidad de Perú»
- Revista de Investigación UNMSM (Perú): Efecto de Maytenus macrocarpa “Chuchuhuasi” en el sistema reproductor masculino del ratón (Mus musculus)
Gratis - Suscríbase a nuestro boletín
Manténgase en contacto con nosotros para recibir las últimas noticias, ofertas, promociones y descuentos.
Dirección
Urbanización Villa Los Sauces, 1era Etapa, calle los Andes, Mz. A' Lt. 04 distrito de Pimentel, provincia de Chiclayo y departamento Lambayeque - Perú
Llámenos o escribanos
(074) 636 064
(+51) 944 153 234
Envíenos un correo electronico
contacto@gennorperu.com
